Transform Your Life
Unleash Your Best Smile with Our Cosmetic Services
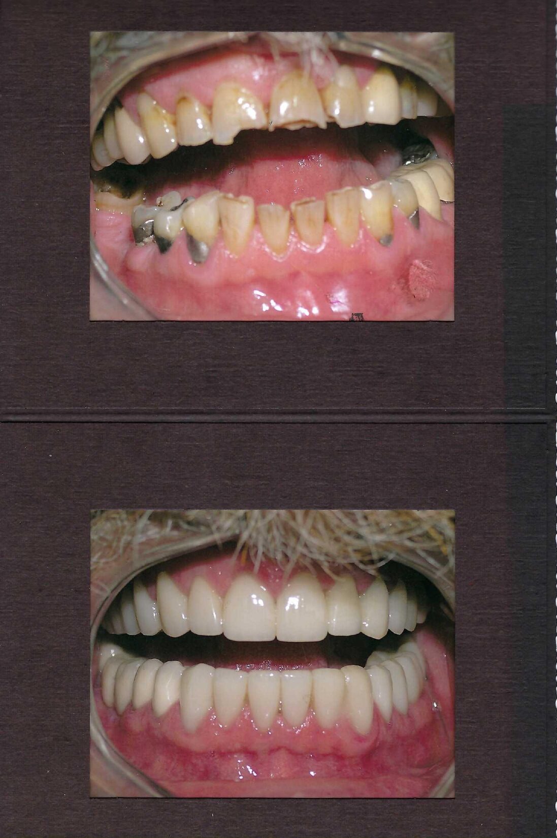
Gary Silva DDS, Inc. in Lodi, CA offers a range of cosmetic dentistry services designed to enhance your smile and boost your confidence. From teeth whitening treatments to orthodontic solutions, we provide personalized care to address your unique needs. Our expertise in partial or complete smile makeovers allows us to transform your dental imperfections into a stunning, natural-looking smile. If you’re ready to achieve your dream smile, schedule a consultation with our team today.
Tell Us How We Can Make Your Smile Right!
Cosmetic Dentistry Services
Veneers
Teeth Whitening
Tooth-Colored Fillings
Teeth Contouring / Crown Lengthening

Transform your smile with veneers! These porcelain shells are meticulously placed over your teeth to mask imperfections like cracks, discoloration, or misalignment. By bonding these thin porcelain layers directly onto your teeth, we achieve stunning results, enhancing your smile while maintaining a natural look.

Revitalize your smile with our professional Zoom! whitening treatments. Banish stains and discoloration to unveil a brighter, more vibrant smile that lights up any room you enter.

Experience seamless restorative results with tooth-colored fillings, expertly crafted using composite resin materials that blend flawlessly with your natural teeth. We prioritize aesthetics, ensuring your smile remains radiant and free from visible fillings.

Our CEREC One-Visit Crowns Are Fit For a King or Queen!
Tooth Bonding
Short-Term Orthodontics

Restore minor imperfections like chips or cracks effortlessly through our tooth bonding procedures. By applying composite resin materials and shaping them to blend seamlessly with your natural teeth, we can address many cosmetic concerns with very conservative techniques.
ClearCorrect Invisible Braces
ClearCorrect offers a swift and inconspicuous orthodontic solution designed to rapidly transform your smile without the inconvenience of traditional braces. Consisting of a series of clear plastic aligner trays, ClearCorrect gradually and efficiently delivers lasting results, making it an ideal choice for busy adults seeking seamless orthodontic care that seamlessly integrates into their daily routines.
During your visit, we will conduct a thorough assessment of your mouth, capturing impressions and photos of your teeth to customize your aligners for optimal teeth straightening. The virtually invisible aligners require replacement every two weeks to ensure the best results, and their gentle pressure means you can comfortably enjoy orthodontic treatment without the discomfort associated with metal braces.
To Explore the Suitability of Short-Term or Full-Range Orthodontic Treatment, Schedule a Consultation With Dr. Silva!
Gum Treatment Services
Smile Makeovers
Gum Reshaping / Gummy Smile Treatment
Gum Recession Treatment
Other Orthodontic Options

Embrace a transformative smile makeover tailored to your unique needs. We combine a mix of cosmetic and restorative services to revitalize your smile, offering a fresh, new look that radiates confidence and joy. Schedule a consultation with Dr. Silva to start your journey toward a stunning smile.
Schedule an appointment with our expert team today and take the first step towards a more confident and radiant you. Call 209-369-0294!
